
Gingivita este o afectiune inflamatorie care afecteaza gingiile, tesuturile moi care inconjoara si sustin dintii tai. Aceasta inflamatie este cauzata de acumularea de placa bacteriana pe dinti si de-a lungul liniei gingiilor. Daca nu este tratata corespunzator, gingivita poate progresa catre o forma mai severa de boala numita parodontoza, care poate duce la deteriorarea tesuturilor de sustinere a dintilor si, in cele din urma, la pierderea dintilor. Cu toate acestea, parodontoza nu este singura complicatie care poate aparea atunci cand ai gingivita. In acest articol, vei afla toate informatiile legate de problemele ce se pot dezvolta atunci cand gingiile tale nu sunt santoase, fiind predispune la multe afectiuni.
Ce este gingivita?
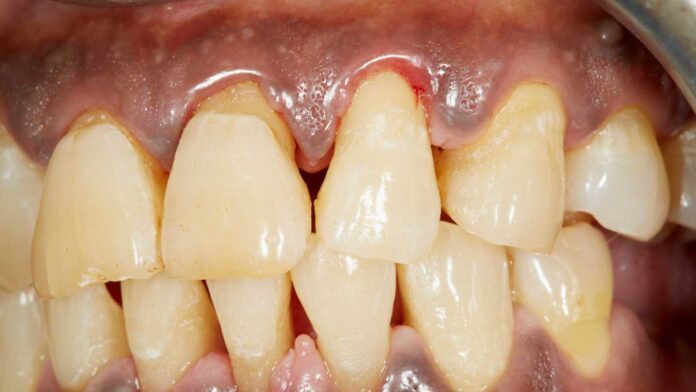
Principalele simptome ale gingivitei includ gingii rosii, umflate si sensibile, care pot sangera usor in timpul periajului sau al utilizarii atelor dentare. Desi gingivita poate parea o problema minora, ea poate avea un impact semnificativ asupra sanatatii tale orale si generale.
Cand suferi de gingivita, este esential sa acorzi o atentie deosebita ingrijirii dentare pentru a preveni agravarea afectiunii si a evita complicatiile ulterioare. Iata cele mai mari amenintari pentru sanatatea ta dentara asociate cu gingivita.
Cauzele si simptomele gingivitei
Gingivita este cauzata in principal de acumularea de placa bacteriana pe dinti si de-a lungul liniei gingiilor. Placa bacteriana este un strat subtire, lipicios, de bacterii care se formeaza in permanenta pe suprafata dintilor. Daca nu este indepartata in mod regulat prin periaj si utilizarea atelor dentare, placa bacteriana se poate acumula si poate duce la inflamatia gingiilor. Adesea, gingivita poate fi provoca infectii, cum ar fi abces dentar sau fistula dentara, afectiuni care sunt foarte grave daca nu sunt tratate rapid.
Alti factori care pot contribui la dezvoltarea gingivitei includ:
- Igiena orala necorespunzatoare
- Fumatul
- Stres
- Anumite medicamente
- Schimbari hormonale
- Afectiuni sistemice, cum ar fi diabetul
Simptomele principale ale gingivitei sunt:
- Gingii rosii si umflate
- Sangerare usoara a gingiilor in timpul periajului sau al utilizarii atelor dentare
- Halitoza (respiratie urat mirositoare)
- Sensibilitate sau durere la nivelul gingiilor
Daca observati aceste simptome, este important sa consultati un medic stomatolog pentru a fi evaluat si a primi tratamentul adecvat.
Impactul gingivitei asupra sanatatii generale
Desi gingivita este o afectiune localizata la nivelul gingiilor, ea poate avea consecinte asupra sanatatii tale generale. Cercetarile au aratat ca exista o legatura intre bolile parodontale, cum ar fi gingivita, si anumite afectiuni sistemice, cum ar fi:
- Boli cardiovasculare
- Diabet
- Artrita reumatoida
- Pneumonie
- Nastere prematura si greutate mica la nastere
- Inflamatia cronica asociata cu gingivita poate contribui la dezvoltarea sau agravarea acestor afectiuni. De asemenea, bacteriile prezente in placa bacteriana pot ajunge in fluxul sanguin si pot declansa o reactie inflamatorie sistemica.
Prin urmare, este esential sa tratezi gingivita in mod adecvat si sa mentii o igiena orala buna pentru a reduce riscul de a dezvolta complicatii legate de sanatatea generala.
Cele mai mari amenintari pentru sanatatea dentara asociate cu gingivita
Daca gingivita nu este tratata in mod corespunzator, ea poate progresa catre parodontoza, o afectiune mai severa care afecteaza tesuturile de sustinere a dintilor. Iata cele mai mari amenintari pentru sanatatea ta dentara asociate cu gingivita:
Pierderea de tesut osos: Parodontita poate duce la distrugerea tesutului osos care sustine dintii, ceea ce poate duce la mobilitatea si, in cele din urma, la pierderea dintilor.
Formarea pungilor parodontale: Atunci cand gingivita progreseaza catre parodontoza, se pot forma pungi parodontale intre dinti si gingii. Aceste pungi adanci sunt un mediu propice pentru acumularea de placa bacteriana si pot accelera distrugerea tesuturilor de sustinere a dintilor.
Pierderea dintilor: In stadiile avansate ale parodontozei, pierderea dintilor poate deveni inevitabila daca afectiunea nu este tratata in mod adecvat.
Infectii recurente: Gingivita poate crea un mediu favorabil pentru infectiile recurente la nivelul gingiilor si al tesuturilor inconjuratoare, ceea ce poate duce la durere, inflamatie si alte probleme.
Halitoza cronica: Placa bacteriana si infectiile asociate cu gingivita pot cauza o respiratie urat mirositoare persistenta, cunoscuta sub numele de halitoza cronica.
Probleme estetice: Gingivita poate duce la retragerea gingiilor, expunand radacinile dintilor si afectand aspectul estetic al zambetului tau.
Pentru a preveni aceste amenintari si pentru a mentine o sanatate dentara optima, este esential sa tratezi gingivita in mod adecvat si sa adopti practici de igiena orala corespunzatoare.
Importanta igienei dentare in prevenirea si tratarea gingivitei
Mentinerea unei igiene orale adecvate este esentiala pentru prevenirea si tratarea gingivitei. Prin indepartarea regulata a placii bacteriene de pe dinti si de-a lungul liniei gingiilor, poti reduce inflamatia si poti preveni agravarea afectiunii.
Iata cateva practici de igiena orala recomandate:
Periajul dentar corespunzator: Periaza-ti dintii de doua ori pe zi, dimineata si seara, timp de cel putin doua minute. Utilizeaza o periuta de dinti moale si o pasta de dinti care contine fluor.
Utilizarea atelor dentare: Utilizarea atelor dentare este esentiala pentru indepartarea placii bacteriene de la nivelul spatiilor interdentare, acolo unde periuta de dinti nu poate ajunge.
Utilizarea apei saline: Clatirea gurii cu apa salina poate ajuta la reducerea inflamatiei si la indepartarea resturilor de placi bacteriene.
Utilizarea unui produs antimicrobian: Unele produse antimicrobiene, cum ar fi guma de mestecat sau spray-urile bucale, pot ajuta la reducerea bacteriilor din cavitatea bucala si la controlul inflamatiei.
Evitarea fumatului: Fumatul poate agrava inflamatia gingiilor si poate incetini procesul de vindecare.
Prin adoptarea acestor practici de igiena orala si prin vizitele regulate la medicul stomatolog, poti preveni si trata eficient gingivita, reducand astfel riscul de a dezvolta complicatii mai grave.
Cum sa mentii o igiena orala adecvata cand suferi de gingivita
Cand suferi de gingivita, este esential sa acorzi o atentie deosebita igienei orale pentru a preveni agravarea afectiunii si a evita complicatiile ulterioare. Iata cateva sfaturi pentru a mentine o igiena orala adecvata:
Utilizeaza o periuta de dinti moale: Periutele de dinti cu peri duri pot irita si pot agrava inflamatia gingiilor. Opteaza pentru o periuta de dinti moale sau una special conceputa pentru gingii sensibile.
Foloseste o tehnica de periaj corespunzatoare: Periaza-ti dintii cu miscari usoare, circulare, acoperind fiecare dinte in parte. Evita periajul agresiv, care poate provoca sangerari si iritatii suplimentare.
Utilizeaza ata dentara in mod corespunzator: Atunci cand utilizezi ata dentara, fii delicat si evita sa fortezi trecerea atei prin spatiile interdentare. Daca observi sangerari, nu te opri din utilizarea atelor dentare, deoarece aceasta va ajuta la indepartarea placii bacteriene si la imbunatatirea starii gingiilor.
Considera utilizarea unui produs antimicrobian: Unele produse antimicrobiene, cum ar fi ape de gura sau geluri, pot ajuta la reducerea bacteriilor si la controlul inflamatiei gingiilor.
Evita fumatul si consumul de alcool: Fumatul si consumul excesiv de alcool pot agrava inflamatia gingiilor si pot incetini procesul de vindecare.
Urmeaza instructiunile medicului stomatolog: Daca medicul stomatolog ti-a prescris un tratament specific pentru gingivita, asigura-te ca respecti instructiunile cu strictete.
Prin adoptarea acestor practici de igiena orala si prin vizitele regulate la medicul stomatolog, poti controla eficient gingivita si poti preveni complicatiile ulterioare.
Cum sa previi recidiva gingivitei si sa mentii o sanatate orala buna
Dupa ce ai primit tratamentul adecvat pentru gingivita, este important sa adopti masuri pentru a preveni recidiva afectiunii si pentru a mentine o sanatate orala buna pe termen lung. Iata cateva sfaturi:
Mentine o igiena orala excelenta: Continua sa respecti practicile de igiena orala recomandate, cum ar fi periajul corespunzator de doua ori pe zi, utilizarea atelor dentare si a produselor antimicrobiene, daca este necesar.
Viziteaza regulat medicul stomatolog: Respecta programarile pentru vizitele de rutina la medicul stomatolog, pentru a permite monitorizarea starii gingiilor si efectuarea curatarilor profesionale.
Abordeaza factorii de risc: Identifica si abordeaza factorii de risc care pot contribui la dezvoltarea gingivitei, cum ar fi fumatul, stresul sau anumite afectiuni sistemice.
Adopta o dieta sanatoasa: O dieta echilibrata, bogata in fructe si legume proaspete, poate contribui la mentinerea sanatatii gingiilor si a dintilor.
Hidrateaza-te corespunzator: Consumul suficient de apa poate ajuta la mentinerea unui flux salivar adecvat, care contribuie la neutralizarea acizilor si la indepartarea bacteriilor din cavitatea bucala.
Monitorizeaza semnele de recidiva: Fii atent la orice semne de inflamatie sau sangerare a gingiilor si raporteaza-le imediat medicului stomatolog pentru a preveni agravarea afectiunii.
Prin adoptarea acestor masuri si prin colaborarea stransa cu medicul stomatolog, poti mentine o sanatate orala excelenta si poti preveni recidiva gingivitei sau dezvoltarea altor afectiuni parodontale.
In concluzie, gingivita este o afectiune inflamatorie care poate avea un impact semnificativ asupra sanatatii tale orale si generale. Cele mai mari amenintari pentru sanatatea dentara asociate cu gingivita includ pierderea de tesut osos, formarea pungilor parodontale, pierderea dintilor, infectiile recurente, halitoza cronica si probleme estetice. Prin urmare, este esential sa acorzi atentia cuvenita prevenirii si tratarii gingivitei.






















